抗癌黑科技BNCT开创癌症治疗的未来 | 更安全更有效的治癌方法
发布时间:2024-04-05 14:22:02

抗癌黑科技

硼中子俘获疗法(BNCT)

开创癌症治疗的未来

试想一下:

癌症患者只需要在治疗前一天入院,次日躺在床上一边听着自己喜欢的音乐,一边接受30-60分钟无痛感照射,结束照射后便能和正常人一样下床活动,次日住院观察1天即可出院,完成全部治疗。 

图片
BNCT照射场景


   ● 全疗程只需1次照射

   ● 最快照射48h后快速缩小肿瘤

   ● 几乎无任何副作用         

   ● 患者生存质量极高

   ● 对放疗后复发性癌症有效

   ● 对难治性癌症有效

     在大多数人依旧谈癌色变,认为患癌等于“被判死刑”的今天,一种具有划时代意义的颠覆性癌症疗法已于4年前在日本获批上市,并即将在中国海南拉开序幕。

它就是被誉为抗癌黑科技的硼中子俘获疗法(BNCT) !



什么是BNCT?


硼中子俘获疗法(Boron Neutron Capture Therapy,简称BNCT),是一种利用中子和硼原子的中子俘获反应所产生的的高LET粒子线,从细胞内部精准杀死癌细胞DNA双链,同时对周围正常细胞几乎不造成任何损害的新一代粒子线疗法。



BNCT的治疗原理


图片
图片

01




经静脉点滴向患者注射含硼(10B)药物后,硼(10B)会选择性聚集在癌细胞内

02




从体外向患部照射中子束,照射中子束能量很低,对人体几乎没有影响,但中子与硼(10B)碰撞时,会发生中子俘获反应,产生2种放射线(α射线和7Li原子核)

03




 2种放射线在体内的射程极短,几乎只有1个细胞直径,因此可以精准地从细胞内部破坏吸收了硼(10B)的癌细胞,而几乎不损害周围正常组织,实现靶向杀死癌细胞DNA双链。



BNCT与其它疗法的区别


传统放疗“杀敌一千,自损八百”,质子和IMRT将放疗精准性提高到了“解剖精度”,但BNCT则颠覆性地将放疗精度突破到了“细胞精度”,不仅安全性更高,副作用更少,而且疗效更强大。

BNCT具有高度的肿瘤细胞特异选择性,可以从细胞内部杀死肿瘤细胞,无论是常规X射线或其它粒子线治疗,都只具备解剖级别的精度,而不具备细胞级别的精度。得益于BNCT的细胞级选择性,即便是经过放疗后又再度复发但接受再放疗困难的患者,也可以通过BNCT再次进行精准放疗,这是迄今为止任何其他癌症治疗方法都不具备的特征,也是BNCT最重要的作用;其次,BNCT对浸润癌症有效。换言之,BNCT是目前针对癌细胞和正常细胞混合的浸润性癌症唯一的治疗方法。同时,BNCT还可以治疗化疗后复发的癌症。原因是正常细胞没有受到损伤,所以正常细胞可以再生。

IMRT治疗和质子治疗可以对实体瘤以解剖精度均匀照射癌细胞,两者具有完全不同的作用机制,因此在临床上可以实现优势互补。而BNCT可以在细胞水平上识别高度恶性癌细胞并对其进行选择性破坏。IMRT治疗和质子治疗对于生长速度慢、恶性程度低的癌症有效,例如前列腺癌这类边缘清晰的实体瘤。BNCT不仅对生长速度慢、恶性程度低的癌症有效,同时对已无法维持几何精度的癌症也有效,例如播散到平坦胸膜或腹膜的癌症,或播散到蠕动肠道附近的晚期癌症,这是IMRT或质子不可能实现的效果。


一图读懂BNCT与其它癌症疗法的区别

图片

   适形X线放疗:解剖级别精度(厘米级~毫米级)

图片

   质子放疗:解剖级别精度(毫米级~亚毫米级)

图片

   硼中子俘获治疗(BNCT):细胞精度级别



BNCT的特点


1


细胞级精准靶向放疗

硼中子俘获反应产生的α射线和和7Li原子核具有普通放射线3倍威力的生物效应,可以精准破坏癌细胞DNA双链

2


疗效强大

治疗后最快48h快速缩小肿瘤,日本Ⅱ期临床有效率71.4 %,2年生存率100%

3


疗程短

原则只需1次照射,入院3天即可完成全部治疗,1次照射时间约30-60分钟

4


副作用小

可以选择性杀灭癌细胞的同时,保护周围正常组织不受损伤,不会造成正常功能障碍,即便是体弱或高龄患者也可接受治疗

5


适应症广

对难治性和复发性癌症有效:浸润性癌症、多发性病变、常规放疗后复发性癌症、放射抵抗性癌症、不适合手术的病例、不适合放射治疗的病例等。

6


可有效提高患者生存质量

对患者身体负担小,治疗后患者生存质量显著提高并长期维持

7


可通过PET-CT提前预测疗效

可通过确认癌细胞对癌细胞的吸收程度来筛选适应患者,预测治疗效果


BNCT的发展历史


       一图读懂BNCT的发展史


图片


BNCT的发展经历了三次突破


1932年,人类发现了中子,1936年继而提出了关于BNCT的构想。1951年,美国开始了BNCT的临床试验。然而由于当初没有可以有效聚集于肿瘤内的硼药,因此当时的BNCT无法显示出良好疗效,研究停滞不前。

第一个突破源于药的改良。1968年,日本研究人员使用了一种可以选择性聚集在恶性脑肿瘤内的硼药boronocaptate sodium (BSH)实施了BNCT。1987年,日本进一步使用了可以选择性聚集在肿瘤细胞内的硼药boronophenylalanine(BPA),针对恶性黑色素瘤实施了BNCT。由于BPA可以被肿瘤表面高表达的氨基酸转运体LAT1所选择性吸收,因此可以选择性地只向肿瘤内部聚集,成为了目前临床中主要采用的硼药。BPA的问世让BNCT第一次发挥出了构想中的真正价值,并取得了巨大飞跃。

第二个突破是超热中子的使用。BNCT最初使用的是能量较低的热中子作为照射中子源。但是,由于热中子到达人体深层部位后就会迅速衰减,因此热中子 BNCT 仅适用于照射黑色素瘤等浅表肿瘤,对于脑肿瘤则需要在开颅状态下进行照射,也难以适用于无法暴露在表层的其它肿瘤。为此,1996 年,京都大学原子炉实验所(现 复合原子力科学研究所)对设备进行了改造,使其能够利用能量高于热中子的超热中子实施照射。由此,BNCT实现了由浅表照射到深层照射的飞跃,脑肿瘤BNCT也可以在不开颅的状态直接进行,这也将BNCT 的可能性扩展到了其它癌种。

第三个突破是加速器中子源的开发。以前必须要采用核反应堆(研究炉)才能产生BNCT所需的中子源。但由于核反应堆距离市区医院较远,且因维护等问题有较长的停运期,无法提供“根据患者病情在必要时可选择性治疗”的条件,因此核反应堆型BNCT仅仅被定位为一种特殊的研究型治疗手段,能够接受治疗的患者人数始终非常有限。为了突破核反应堆BNCT的局限性,2018年,住友重机械工业株式会社和京都大学开发出了能够实施中子照射的加速器BNCT 系统(C-BENS,获批销售名称:NeuCure)。加速器BNCT可以安装在医院内进行照射,它的问世开创了BNCT可以作为一般性肿瘤治疗选项供患者选择的新局面。

基于以上三大突破,日本采用BPA作为硼药,加速器作为中子源,开展了针对无法切除的局部晚期或局部复发性头颈癌的临床试验,2020年3月,由住友重机械工业株式会社开发的BNCT加速器治疗系统Nuecure®,及STELLA PHARMA株式会社开发的BPA硼药Steboronine®通过日本PMDA的“SAKIGAKE审查指定制度”获得了上市销售批准,这是全球范围内首个获批且目前唯一获批的BNCT用器械和硼药,2020年6月被批准纳入了日本全民医保。值得注意的是,无论是日本的SAKIGAKE审查指定制度,还是日本全民医保,其纳入标准都是极为严苛的,只有同时具备治疗方法/诊断方法的划时代性(划代性)、目标疾病的严重性、较现有治疗方法或诊断方法可实现有效性或安全性的显著改善和提升等诸多高门槛条件的治疗方法才符合纳入标准,这足以充分说明了BNCT的先进性和优越性。



BNCT模拟治疗场景


图片
❶ 经静脉进行硼药点滴给药

 ❷ 照射中子射线

   ◆ 全疗程仅需一次照射

   ◆一次照射时长30-60分钟


BNCT的治疗流程

图片

(引自STELLA PHARMA CORPORATION官网主页)



BNCT的适应症

适应症:头颈癌、脑胶质瘤、脑膜瘤、恶性黑色素瘤、血管肉瘤、肝癌、肺癌、间皮瘤、结肠癌、膀胱癌、乳腺癌。


*其中已获批适应症:不可切除的局部晚期或局部复发性头颈癌


各适应症临床试验的最新进展

图片



BNCT临床治疗实际案例


1

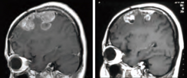
脑肿瘤(代表案例:恶性脑胶质瘤)

恶性脑肿瘤,尤其是恶性脑胶质瘤,是BNCT临床研究中被寄予了很高期望的适应症。由于BNCT可以一次进行大剂量的中子照射,因此在治疗后短期(约治疗2天后)内就能出现剧烈的肿瘤反应(MRI图像中增强病灶缩小或消失)。

图片

图片

   BNCT治疗前        

BNCT 治疗48小时后

(图像来源 : 关西BNCT共同医疗中心)

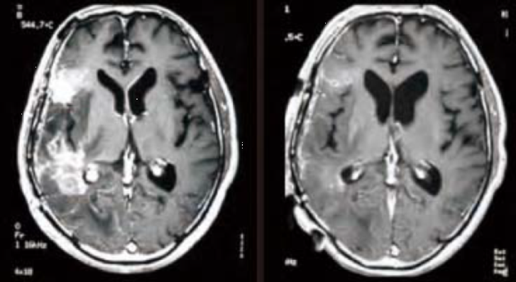
2

头颈癌(代表案例:复发性腮腺癌)

头颈癌的标准治疗方法是手术、X射线治疗与化疗的联合疗法,但是对复发性头颈癌患者而言,因正常组织对X射线的耐受剂量有限导致头颈癌患者在复发时难以再一次接受X射线治疗。而BNCT可以选择性破坏癌细胞的同时保护正常组织不受损伤,因此在治疗复发性头颈癌方面被寄予了厚望。全球首例针对复发性腮腺癌的头颈癌BNCT在日本关西BNCT共同医疗中心分两次照射实施,其结果癌细胞完全消退,甚至皮表恢复到干性脱屑状态。除了BNCT外,其它治疗手段均不可能避开薄且紧绷的皮肤,对皮下癌细胞直接照射可控剂量,这证明了BNCT是真正意义上的细胞级精度靶向治疗,其优越性不言而喻。


图片

BNCT治疗前

患者因癌细胞的快速生长无法只停留在体内,已突破皮表并呈进一步扩增状态。患者之前做过手术,因此不适合再次进行手术切除,且为放疗后复发病例,也无法再进行包括粒子治疗在内的放射治疗。

BNCT治疗后

癌细胞完全消退,皮肤正在再生中。未观察到对视觉或听觉功能的不良影响。

(图像来源 : 关西BNCT共同医疗中心)




哪里可以接受BNCT治疗?


目前,全球有且只有2家医疗机构可以为患者提供加速器BNCT治疗服务。分别是:

大阪关西BNCT共同医疗中心 

图片

地址:大阪府高槻市大学町2番7号

(大阪医科药科大学内)


南东北BNCT研究中心

图片

地址:福岛县郡山市八山田7丁目10番


遗憾的是,目前2家医疗机构仅面向日本国内患者开放,暂不接收海外患者。

不过,请不必担心,2022年6月,中国生物科技服务控股有限公司(股票代码:8037.HK)与日本住友重工业机械株式会社和Stella Pharma株式会社签订合作协议,确定将上述日本2家医疗机构使用的日本住友重工产中子照射系统“Neucure”和Stella Pharma产硼药“Steboronine”引进我国海南博鳌,旨在依托博鳌乐城医疗特区制度优势,与日本同步,率先开展BNCT治疗服务,尽早为国内及东南亚地区癌症患者提供国际领先的癌症治疗服务。

鹏博博鳌硼中子医院已于2023年12月完成基本建设,目前正在开展全面装修工作。2024年2月,Neucure已顺利运达海南,即将开始设备安装和调试工作,顺利的话预计2024年底将可以在博鳌乐城正式开启BNCT治疗服务

图片

    鹏博博鳌硼中子医院正门图

我们期待着BNCT这项国际领先的抗癌技术能够早日为国内饱受癌症病痛折磨的患者和家庭带来生命的曙光!

有意愿提前了解和咨询BNCT治疗的患者或患者家属,欢迎随时联系我们!

图片

  鹏博博鳌硼中子医院大厅图




图片

鹏博博鳌硼中子医院

地址

海南省琼海市博鳌乐城国际

医疗旅游先行区广慈路1号

联系人

蔺经理

联系邮箱

sanyun.lim@chinabioservices.com

联系咨询电话

137-1691-7179

0755-23824205